Skip to main content Skip to page footer

Gesund­heitsthemen | Netzhauterkrankungen

Wissenswertes zu Erkrankungen der Netzhaut

Netz­haut­erkran­kungen können in jedem Lebensalter auftreten. Von der Netzhauterkrankung bei Früh­geborenen bis hin zur altersabhängigen Maku­la­de­ge­ne­ra­tion bringt jeder Lebensabschnitt eigene Besonderheiten mit sich. Hier erfahren Sie mehr zu den häufigsten Erkrankungen der Netzhaut.

Trockene und feuchte altersabhängige Makula­degeneration

Die altersabhängige Makula­degeneration ist eine Stoffwechselstörung, bei der die Netzhaut und die Aderhaut nicht mehr in der Lage sind, die beim Sehvorgang entstehenden „Abfall“-Produkte vollständig abzubauen. Das nicht abgebaute Material (Drusen) lagert sich zwischen Netzhaut und Aderhaut ab (s. Abb.1 u. 2).

Angeborene, genetisch verursachte Netzhaut­veränderungen

Bei angeborenen, vererbten (hereditären) Netzhauterkrankungen handelt es sich um genetische Veränderungen an verschiedensten Genorten, die teilweise zu erheblichen Funktionseinschränkungen der Augen führen. Je nach der betroffenen Struktur kann die Netzhautmitte (Makula) betroffen sein, was zu einer erheblichen Beeinträchtigung des scharfen, zentralen Sehens führt. Bei anderen Formen ist die Netzhautperipherie betroffen, was zu einer Einschränkung des äußeren Gesichtsfeldes führt. Auch das Alter der Betroffenen bei Beginn der Erkrankung variiert abhängig von der Art der genetischen Veränderung.

Diabetische Netzhaut­veränderungen

Bei der diabetischen Retinopathie kommt es zu einer Schädigung der kleinsten Blutgefäße (Kapillaren) im Bereich der Netzhaut. Man spricht daher auch von einer Mikroangiopathie. Der über Jahre erhöhte Blutzuckerspiegel führt zu einer Anlagerung der Glucose an Bluteiweißstoffe, die wiederum eine Verdickung der Wand und somit eine Verkleinerung der Öffnung der Blutgefäße bewirkt. Dies führt zu einer schlechteren Durchblutung der Netzhaut. Neugebildete, krankhafte Gefäße können die Folge sein, aus denen es leicht blutet, auch in den Glaskörperraum hinein (Abb.7).

Bei fortgeschrittener trockener altersabhängiger Makula­degeneration kann es zu einem Abbauprozess kommen, bei dem sich Teile der Netzhaut vollständig zurückbilden (s. Abb.3). Bei der feuchten altersabhängigen Makuladegenration entstehen (meist zusätzlich zu den Drusen) neue krankhafte Gefäße unter der Netzhaut, aus denen Flüssigkeit oder Blut unter die Netzhaut austritt (s. Abb.4 u. 5).

Unbehandelt kommt es bei der feuchten Makula­degeneration zu Vernarbungen der Netzhautmitte (s. Abb. 6). Die altersabhängige Makula­degeneration ist in Deutschland die häufigste Erblindungsursache von Personen, die älter als 65 Jahre sind.

Außerdem werden die Kapillaren durchlässig für Flüssigkeit und bestimmte Eiweißstoffe (Exsudate). Ein Ödem der Netzhautmitte (Makulaödem) kann die Folge sein (Abb.8). Die diabetische Retinopathie ist in Deutschland die häufigste Erblindungsursache von Personen unter 65 Jahren.

Venöse und arterielle Gefäßverschlüsse des Auges

Beim Verschluss einer Netzhautarterie kommt es zu einem sofortigen Funktionsverlust des versorgten Netzhautbereichs (Abb.9), beim Verschluss der Zentralarterie zu einer abrupten Erblindung des Auges (Abb.10). Nur in seltenen Fällen kann eine Wiederdurchblutung der Netzhaut erreicht werden. Aufgrund der Empfindlichkeit der Netzhaut gegenüber Sauerstoff- und Nährstoffmangel kommt es bereits nach sehr kurzer Zeit zu dauerhaften Schäden des Gewebes.

Degenerative Veränderungen der Makula (Gliose, Makulaloch, Makulaödem, ...)

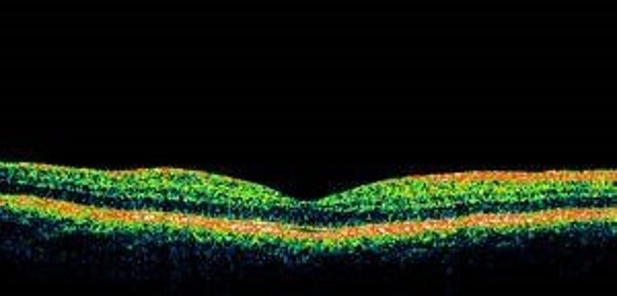
Erkrankungen aus dieser Kategorie werden heutzutage mit der sog. optischen Kohärenztomographie (OCT) dargestellt. Mit der OCT lässt sich bei normaler Netzhaut die Sehgrube (Fovea) erkennen (Abb.12). Aus verschiedenen Gründen können sich auf der Netzhautoberfläche Membranen bilden (epiretinale Gliose, s. Abb.13).

Entzündungen des Glaskörpers, der Netzhaut oder der Aderhaut

Entzündungen können alle Bereiche des Auges betreffen, auch den hinteren Augenabschnitt. Sowohl der Glaskörper, wie auch die Netzhaut, die Aderhaut, die Gefäße (Abb.16) und der Sehnervenkopf können bei Entzündungen des gesamten Körpers mitbetroffen sein oder eigenständige Krankheitsbilder darstellen. Gründe dafür sind zahlreich: bakterielle, virale, parasitäre und Pilzinfektionen und Erkrankungen des Immun­systems können Auslöser von Entzündungen im hinteren Augenabschnitt sein.

Tumorerkrankungen

Tumore am hinteren Augenabschnitt können isoliert das Auge betreffen oder als Metastasen eines an anderer Stelle im Körper vorhanden Tumors entstehen. Die Behandlung richtet sich nach Art, Größe und Lage des Tumors.

Sie sind von einer Erkrankung der Netzhaut betroffen?

Klinik für Netzhauterkrankungen am Bürger­hospital Frankfurt

 

Erfahren Sie mehr über die Behandlungsmethode der intravitrealen Injektion:

Gesund­heitsthema: Minimaler Eingriff mit maximaler Wirkung

 

Bei einer Venenthrombose (Abb.11) ist für die Prognose des Sehvermögens und für die Therapie entscheidend, ob das sauerstoffreiche arterielle Blut weiterhin gut die Netzhaut erreicht oder ob es durch die Thrombose der Vene auch zu einer Minderdurchblutung der Netzhaut kommt.

Manchmal sind der Bildung solcher Membranen Laserbehandlungen oder operative Eingriffe vorausgegangen, oft lässt sich ein auslösender Faktor nicht finden. Zugkräfte der hinteren Glaskörpergrenzmembran (Abb.14) und auf der Netzhautoberfläche entstehende tangentiale Kräfte werden für die Entstehung von Makulalöchern (Abb.15) verantwortlich gemacht.


Autor: Chefarzt Dr. med. Romano Krist