
Uro-Magnetresonanztomographie: In die Niere geschaut
Einer der Schwerpunkte bei der Behandlung von Säuglingen und Kindern am Clementine Kinderhospital ist die Nephrologie, das Spezialgebiet von Chefarzt PD Dr. Kay Latta. In Zusammenarbeit mit der Radiologie am Bürgerhospital Frankfurt, Chefarzt Dr. Joachim Wolf, und der Klinik für Neugeborenen-, Kinderchirurgie und –urologie am Bürgerhospital Frankfurt, Chefärztin Dr. med. Sabine Grasshoff-Derr, werden durch Uro-MRT-Untersuchungen beste Voraussetzungen für die Planung von Operationen für jene Patienten ermöglicht, bei denen z.B. Harnleiter und Blase nicht richtig miteinander verbunden sind. In einem Interview erklären Dr. Latta und Dr. Wolf Wissenswertes und Interessantes rund um die Uro-MRT.

Chefarzt PD Dr. med. Kay Latta und Chefarzt Dr. med. Joachim Wolf im Interview
Herr PD Dr. Latta, Herr Dr. Wolf, was genau ist eine Uro-MRT?
Dr. Wolf: Eine Uro-MRT ist die Untersuchung der Nieren und der ableitenden Harnwege, also Blase, Harnleiter und Harnröhre, im Magnetresonanztomographen (MRT). Man erhält durch die Uro-MRT nicht nur eine klare Darstellung der Organe selbst, sondern gewinnt auch Erkenntnisse über deren Funktion – wie arbeiten die Nieren? Wie kommt der Urin von den Nieren in die Blase?
Bei welcher Indikation kommt die Uro-MRT zum Einsatz?
Dr. Latta: Der Kinder- oder Hausarzt stellt meist mittels Ultraschall Auffälligkeiten fest und überweist seinen Patienten in das Clementine Kinderhospital oder in die Klinik für Neugeborenen- und Kinderchirurgie und -urologie am Bürgerhospital Frankfurt. Fragestellungen sind dabei z.B.: Warum fließt der Urin nicht richtig ab? Sind die Nieren gestaut? Ist der Funktionsanteil einer Niere zu gering? Liegt eine Doppelniere (eine Niere mit zwei Nierenbecken) vor? Mündet der Harnleiter in die Blase oder gibt es Fehlanlagen? Funktionieren beide Nieren gleich? Mit der Uro-MRT können wir uns die inneren Organe noch genauer ansehen als mit dem Ultraschall und so den ersten Verdacht bestätigen oder entkräften.
Bis jetzt hat sich der Erstverdacht jedoch immer als richtig erwiesen. Keines der Kinder, bei dem wir bisher eine Uro-MRT durchgeführt haben, hatte dann doch einen Normalbefund. Leider, kann man sagen. Denn stellen wir eine Fehlanlage fest, dann bedeutet dies meist, dass eine Operation notwendig ist. Schließlich können unbehandelte Fehlbildungen zu wiederholten Nierenbeckenentzündungen, Harnwegsinfekten und Nichterreichen der Sauberkeit führen.
Dr. Wolf: Ultraschall und MRT vor einer Operation ergänzen sich ideal! Der Chirurg gewinnt einen ganz genauen Eindruck von den inneren Strukturen, der Lage des Harnleiters und der Funktion der Organe. So kann er den Eingriff exakt planen und das bestmögliche Ergebnis erzielen.
Wie verläuft die Untersuchung genau?
Dr. Latta: Es sind überwiegend Kinder in den ersten Lebensjahren, die mittels Uro-MRT untersucht werden. Auf jeden Fall sind sie älter als drei Monate. Die Erfahrung hat gezeigt, dass erst dann die Uro-MRT zielführende Ergebnisse liefern kann. Da die Kinder für die Untersuchung vollkommen stillhalten müssen, werden sie von unseren Anästhesisten in eine Art Tiefschlaf versetzt. Im Gegensatz zu einer Vollnarkose müssen sie dabei nicht beatmet werden.
Dr. Wolf: Eine ambulante Untersuchung, wie man dies z. B. bei einer Knie-MRT kennt, nach welcher der Patient direkt wieder nach Hause gehen kann, ist in diesem Fall nicht möglich. Nicht zuletzt wegen der Anästhesie. Insgesamt ist die Uro-MRT relativ zeitintensiv. Die Untersuchung selbst dauert etwa eine Stunde ohne Vor- und Nachbereitung. Die computergestützte Auswertung der Bilder dauert mindestens ebenso lange. Erst danach können wir die Ergebnisse bewerten.
Seit wann arbeiten Sie in diesem Spezialgebiet zusammen und wie viele Uro-MRT-Untersuchungen werden jährlich durchgeführt? Wie geht es mit der Behandlung weiter?
Dr. Wolf: Seit circa zwei Jahren führen wir gemeinsam diese Form der Diagnostik durch. Im Schnitt sind es 15 bis 20 Kinder pro Jahr, die aufgrund ihrer Überweisungsdiagnose mit der Uro-MRT untersucht werden. Eine Besonderheit ist bei uns, dass wir in der Woche feste MRT-Termine für Kinder festgelegt haben, auf die unsere Kinderärzte zurückgreifen können. Dies ist nicht an jedem Krankenhaus so. Wir haben uns für dieses Vorgehen entschieden, um eine zeitnahe Untersuchung stets ermöglichen zu können.
Wenn uns die MRT-Bilder und die Funktionsdaten, die ein eigenes Programm ermittelt hat, vorliegen, besprechen wir diese und diskutieren die Diagnose. Stehen unser Befund und die möglichen Therapiewege fest, dann besprechen wir diese mit den Eltern. Dies erfolgt meistens sehr zeitnah. Sollte ein chirurgischer Eingriff notwendig sein, ziehen wir auch unsere Kinderchirurgen aus der Klinik von Chefärztin Dr. Grasshoff-Derr hinzu.
Was passiert, wenn Sie beide eine unterschiedliche Meinung zum Befund haben?
Dr. Latta: Nicht immer sind wir von Anfang an einer Meinung. Doch das ist nichts Ungewöhnliches in der Diagnostik und für den Patienten sicherlich kein Nachteil. Denn wir beleuchten jeden Aspekt unserer Annahmen und diskutieren unsere Einschätzungen intensiv. Meist liegen wir jedoch sehr nah beisammen. Nach der dreiseitigen Absprache (Radiologie, Kinderchirurgie, Kinderurologie) werden die Eltern intensiv beraten, wir demonstrieren ihnen Bilder und Befunde ihres Kindes und stellen das Konzept der Operation vor.

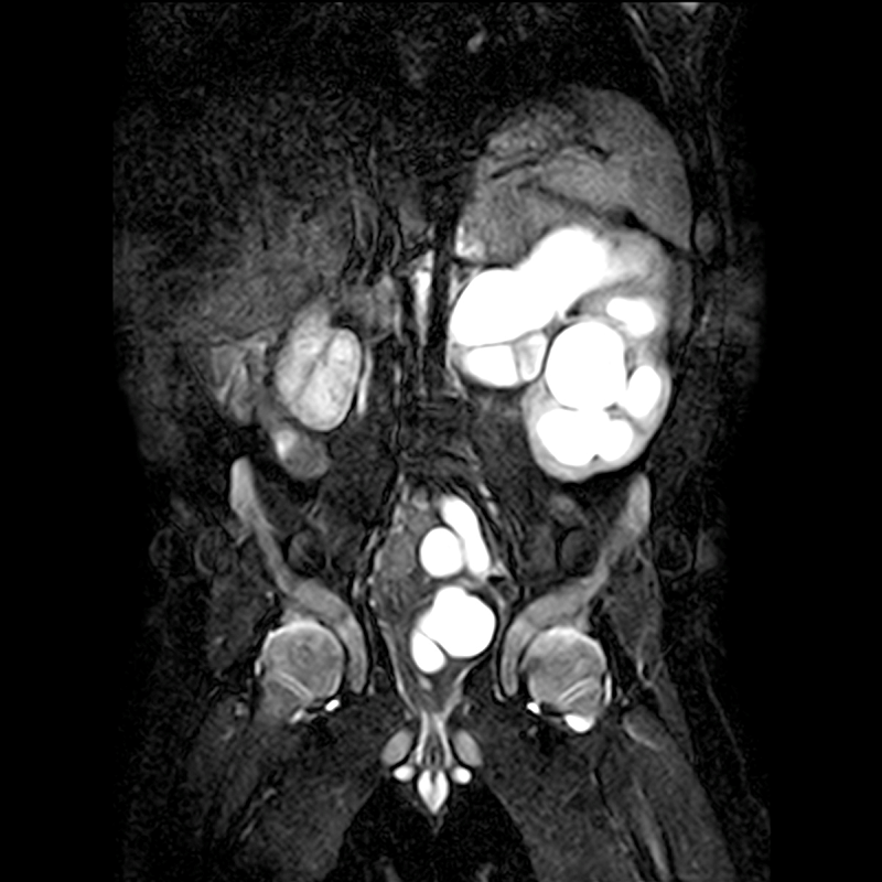
Aufnahmen einer Uro-MRT bei einem vier Monate alten Kind mit einer Doppelniere links mit sogenannten Megauretheren (erweiterten Harnleitern). Die linke Niere ist unauffällig.
Hintergrund: Magnetresonanztomographie
Mit Hilfe der Magnetresonanztomographie können Bilder aller Körperregionen ohne den Einsatz von Röntgenstrahlen erstellt werden. Dies ist besonders wichtig bei der Untersuchung von Kindern und Jugendlichen. Die Methode erlaubt eine sehr gute Darstellung der Weichteilstrukturen und ist deshalb insbesondere bei der Diagnostik von Erkrankungen des Gehirns und des Rückenmarks im Rahmen der neurologischen Diagnostik sowie der Wirbelsäule und der Gelenke nicht mehr aus dem klinischen Alltag wegzudenken. In der Abteilung für Diagnostische und Interventionelle Radiologie des Bürgerhospitals werden die Untersuchungen an einem offen gestalteten MRT durchgeführt, der einen besonderen Patientenkomfort bietet.



