
Zystische Nierenerkrankungen im Kindesalter
Einer der Schwerpunkte am Clementine Kinderhospital ist die Behandlung von Nierenerkrankungen bei Kindern. Sowohl das Krankenhaus als auch das räumlich angegliederte KfH-Kinderdialysezentrum verfügen über Ambulanzen, in denen insgesamt jährlich 1200 bis 1300 Kinder mit Erkrankungen der Nieren und Harnwege behandelt werden. Darunter sind auch zahlreiche Kinder mit Zysten in den Nieren bzw. zystischen Nierenerkrankungen. Dabei begegnen den Medizinern unterschiedlichste Formen dieser Erkrankung. Welche dies sind, beschreibt Chefarzt Dr. Kay Latta im folgenden Artikel.
Zysten sind kleine kugelige Strukturen, die sich gelegentlich bei der Untersuchung von Organen finden lassen. Sehr große Zysten lassen sich tasten, die meisten, vor allem die kleineren, werden nur durch bildgeben- de Verfahren entdeckt. Während hier bei Erwachsenen MRT- und CT-Untersuchung eine Rolle spielen, ist es im Kindesalter fast ausschließlich die Sonographie, die als diagnostische Maßnahme eingesetzt wird.

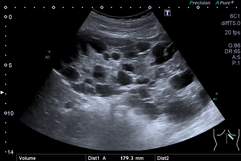
Sehr große, zystisch umgebaute Niere bei autosomal dominant vererbter polyzystischer Nierenerkrankung mit Hypertonie bei einem Jugendlichen. (Foto: Roselieb)
Eine seltene Erkrankung
Zysten können während der Entwicklung der Nieren oder auch später im Leben aufgrund von Mutationen als systemische zystische Erkrankungen entstehen. Alle zystischen Nierenerkrankungen, mit Ausnahme der autosomal dominanten polyzystischen Nierenerkrankung (ADPKD) gehören zu den sogenannten seltenen Erkrankungen. Eine Erkrankung wird selten genannt, wenn sie bei weniger als einem von 2000 Menschen auftritt.
Die häufigste zystische Störung bei der Nierenentwicklung ist die Multizystische Dysplasie. Bei dieser Erkrankung erreicht in der Embryonalentwicklung der von der Blase aussprossende Harnleiter mit Nierenbeckenkelchsystem das sich entwickelnde Nierengewebe nicht. Dadurch entsteht keine funktionsfähige Niere, sondern nur ein regelloses „Wirrwarr“ von Zysten. Viele Nieren mit mehreren Zysten (multizystisch) werden bereits vor der Geburt oder direkt nach der Geburt bei dem vielfach durchgeführten Nierenscreening entdeckt. Da die gegenüberliegende Niere in der Regel gesund ist und ein ausgleichendes Mehrwachstum (kompensatorische Hypertrophie) zeigt, sind diese Kinder nicht krank. Die Prognose hängt natürlich ganz wesentlich von möglichen Fehlbildungen der „gesunden“ Niere ab.
Typische Folgen
Von den über 90 Kindern, die wir zwischen 2003 und 2015 im Clementine Kinderhospital gesehen haben, hatten nur wenige Harnwegsinfekte. Sechs entwickelten einen Bluthochdruck. In solchen Fällen wird üblicherweise die fehlgebildete Niere entfernt. Die gesunde blieb erhalten. Allerdings normalisierte sich nach der Entfernung der Blutdruck nur bei zwei der sechs Kinder. Ein einziges Kind hat eine deutlich eingeschränkte Nierenfunktion, weil hier auch die andere Niere zu klein und gestaut angelegt ist.
Doch treten nicht nur Mehrfach-Zysten auf. Bei 40 der behandelten Kinder fand sich eine einzelne Zyste in der Niere. Der primäre Ultraschall war stets mit einer anderen Fragestellung erfolgt und die Zyste wurde nebenbefundlich entdeckt. Einfache Nierenzysten sind bei Kindern sehr selten und werden im Laufe des Lebens, wahrscheinlich auf der Basis degenerativer Prozesse, häufiger. Auch bei den von uns untersuchten Patienten waren es gerade einmal ein Tausendstel der Patienten. Ihr Durchschnittsalter lag bei zehn Jahren. Zwei der entdeckten Zysten mussten aufgrund ihrer Größe (über 200 Milliliter) und des Verletzungsrisikos entfernt werden. Die betroffene Niere konnte dabei erhalten bleiben.
Das Problem der zu kleinen Niere
22 Kinder hatten zu klein angelegte Nieren mit zystischen Veränderungen. Die kleinen Nieren führen oft früh zu einer eingeschränkten Nierenfunktion. In diesem Fall waren vier der 22 Kinder betroffen. Ein weiteres ist dialysepflichtig und wartet aktuell auf eine Transplantation.

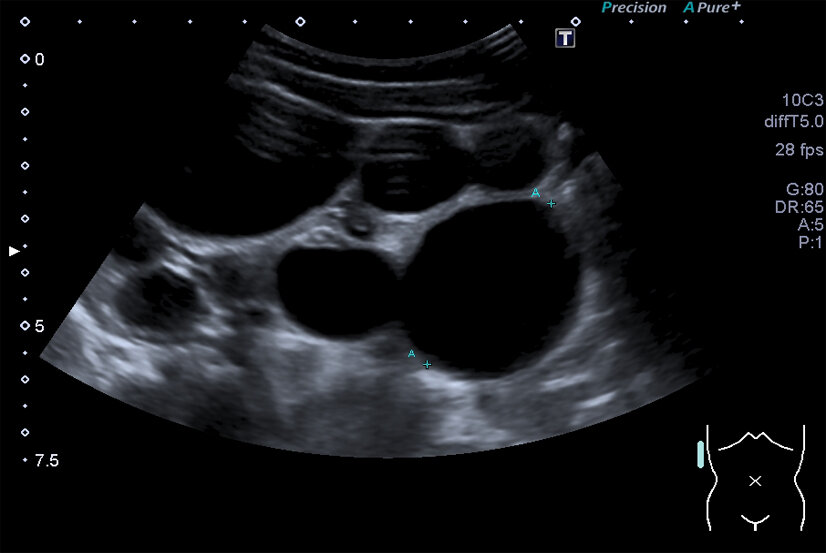
Multizystische Niere. Man erkennt die regellose Anordnung der verschieden großen Zysten. Reguläres Nierengewebe ist nicht erkennbar. (Foto: Roselieb)
Vererbte zystische Erkrankungen
Insgesamt sind über 70 vererbte zystische Nierenerkrankungen bekannt, die nicht als Fehlbildungen wie die bisher geschilderten einzuordnen sind. Die allermeisten Zellen im Körper haben ein kleines Haar, eine Zilie. Diese Zilie ist für die Wahrnehmung sensorischer Reize, für Signalübertragung und bei der Zellteilung wichtig. Alle Mutationen, die diese Erkrankungen auslösen und die wir kennen, betreffen die Zilie oder ihren Aufhängungsapparat. Alle vererbten zystischen Erkrankungen sind damit Ziliopathien.
In dieser Gruppe ist in der Kinder- und Jugendmedizin die autosomal rezessiv vererbte polyzystische Nierenerkrankung die wichtigste Systemerkrankung. Die Ausprägungsmöglichkeiten dieser Krankheit sind sehr groß. Die Fehlbildung kann so schwerwiegend sein, dass ein Kind nicht lebensfähig oder schon als Neugeborenes mit einer Lungenhypoplasie (unzureichende Entwicklung der Lungen) und riesigen Nieren, die praktisch nicht funktionieren, schwer krank ist. Auch von letztgenannten Kindern sterben viele in der Neugeborenenperiode. Bei den meisten allerdings ist die Nierenfunktion zunächst gut, wenngleich sie unter einem schweren Bluthochdruck leiden. Zur Erkrankung gehört darüber hinaus auch eine Leberbeteiligung. Daher entwickeln die meisten Kinder eine Leberfibrose, manche eine Leberzirrhose und schwere Veränderungen an den Gallenwegen. Damit entsteht ein komplexes Krankheitsbild, das einer intensiven Behandlung bedarf. Wir haben im vergangenen Jahrzehnt 15 Kinder mit autosomal rezessiver polyzystischer Nierenerkrankung betreut. Elf haben Bluthochdruck, sechs eine Nierenfunktionsstörung, eines hatte so schwere Leberveränderungen, dass es lebertransplantiert werden musste. Zwei Kinder mit dialysepflichtigem Nierenversagen erhielten gleichzeitig eine neue Leber und eine neue Niere. Demgegenüber sind drei Patienten klinisch gar nicht krank.
Nierenversagen im Erwachsenenalter
Die autosomal dominante polyzystische Nierenerkrankung ist eine der häufigsten Ursachen für ein dialysepflichtiges Nierenversagen im Erwachsenenalter. Die Erkrankung beginnt meistens im 3. oder 4. Lebensjahrzehnt mit einem Bluthochdruck und es entwickelt sich dann langsam eine Niereninsuffizienz. Bei den meisten Kindern, die uns vorgestellt werden, möchten die Eltern unbedingt wissen, ob ihre Kinder von der bei einem Elternteil bekannten Erkrankung auch betroffen sind. Bei detaillierten Untersuchungen stellt sich dann oftmals heraus, dass mehr als 10 Prozent dieser Kinder und Jugendlichen bereits einen Bluthochdruck und somit ein erstes mögliches Anzeichen auf die Nierenerkrankung aufweisen. Auch Harnwegsinfekte sind drei Mal häufiger als bei Gleichaltrigen. Die Nierenfunktion an sich war bei den 83 Kindern und Jugendlichen in unserer Ambulanz jedoch noch nicht beeinträchtigt.
Bei vielen weiteren Ziliopathien stehen häufig die Veränderungen an der Niere nicht im Vordergrund. Fehlbildungen am Zentralnervensystem, den Augen, der Leber bestimmen das klinische Bild. Diese Erkrankungen sind alle deutlich seltener als die beiden zuvor beschriebenen Erkrankungen. In dieser Gruppe war die Nephronophthise mit neun Patienten die häufigste Erkrankung, die wir bei unseren Patienten als Ursache der Zystennieren feststellen konnten. Von diesen Kindern haben sieben eine ein- geschränkte Nierenfunktion, bei drei der sieben ist Dialysepflichtigkeit eingetreten. Erfreulicherweise konnte bei zwei der Patienten eine Transplantation erfolgreich durchgeführt werden.

Ist die Nierenfunktion zu stark eingeschränkt, muss die Dialyse die Aufgabe des Organs übernehmen, bis eine Spenderniere gefunden ist. Jedoch führen Zystennieren nicht zwangsläufig zum Nierenversagen. (Foto: Roselieb)
NGS – Schneller und präziser zur Diagnose
Nicht immer lässt sich aus der Anamnese, mit dem Familienstammbaum und per Ultraschall und Blutuntersuchungen eine Diagnose erstellen. Dann stellt eine genetische Untersuchung die einzige Möglichkeit dar, zur korrekten diagnostischen Einordnung zu gelangen. Bislang konnte man immer nur jeweils ein einziges Gen untersuchen. Man stellte eine Verdachtsdiagnose und untersuchte das entsprechende Gen. Wenn man die falsche Frage stellte, ähnlich wie die Suche unter dem falschen Stichwort im Lexikon, fand sich keine verwertbare Antwort, d. h. Diagnose. Bei der Ähnlichkeit der sonographischen und klinischen Bilder war dies kein ungewöhnliches Problem. Jetzt können die Patienten mit einem sogenannten Next Generation Sequencing (NGS) untersucht werden. Beim NGS werden nicht mehr einzelne Gene nacheinander untersucht, sondern es werden parallel Untersuchungen auf Mutationen in den bekannten Genen für zystische Nierenerkrankungen durchgeführt. Damit ergibt sich rascher und präziser eine Diagnose. Ein weiterer Aspekt der Untersuchungen war, dass sich bei mehreren Patienten genetisch eine andere Diagnose ergab, als sich zunächst aus Untersuchung, Familienanamnese und Ultraschall vermuten ließ. Aber auch mit NGS kommt man nicht in jedem Fall zur Diagnose. Dies weist auf die immer noch nicht vollständige Kenntnis der genetischen Ursachen dieser Erkrankungen hin. Dennoch ist bei allen nicht ganz eindeutigen Situationen ein NGS wahrscheinlich eine überlegene diagnostische Strategie. Zusammen mit verschiedenen anderen Ärzten und Wissenschaftlern habe ich dies in einer Veröffentlichung dargelegt1.
Insgesamt ergaben die Untersuchungen der 280 Kinder, dass zystische Nierenerkrankungen für viele ein harmloses Problem darstellen. Aber wenigstens 12 Prozent leiden an einem behandlungsbedürftigen Bluthochdruck. Darüber hinaus waren 10 Prozent der Kinder und Jugendlichen niereninsuffizient oder sogar dialysepflichtig. Sechs sind bereits organtransplantiert. Bei 40 Prozent wurde eine Erkrankung festgestellt, die nach heutigem Kenntnisstand im Laufe des Lebens an die Dialyse führt. Zur Beurteilung dieser prognostischen Einschätzung ist eine exakte Diagnose notwendig.

Chefarzt
PD Dr. med. Kay Latta
Beruflicher Werdegang
1977 – 1984
Medizinische Hochschule Hannover
1982 – 1983
Tufts University Boston, MA, USA (DAAD geförderter Studentenaustausch)
1984 – 1992
Weiterbildung zum Kinderarzt an der Kinderklinik der Medizinischen Hochschule Hannover
1990
Promotion („Klinik und Verlauf der primären Hyperoxalurien”)
1992 – 1993
Forschungsaufenthalt im Departement of Pediatrics, Division of Pediatrice Nephrology am Medical College of Virginia, Richmond Virginia, USA
1994 – 2003
Kinderarzt / Oberarzt an der Medizinischen Hochschule Hannover in der Abteilung für pädiatrische Nieren- und Stoffwechselerkrankungen
10. 2. 1999
Habilitation für das Fach Kinderheilkunde
Seit 1. 6. 2003
Chefarzt und Ärztlicher Direktor des Clementine Kinderhospitals, Frankfurt am Main
Seit 1. 1. 2004
Leiter der KfH-Kinderdialyse am Clementine Kinderhospital (zusammen mit Dr. M. Schröder)
Seit 1. 1. 2009
Ärztlicher Direktor des Bereichs Kinderheilkunde und Jugendmedizin der Bürgerhospital und Clementine Kinderhospital gGmbH
Literatur
1 Eisenberger T, Decker C, Hiersche M, Hamann RC, Decker E, Neuber S, Frank V, J. Bolz H, Fehrenbach H, Pape L, Toenshoff B, Mache C, Latta K, Bergmann C (2015): An Efficient and Comprehensive Strategy for Genetic Diagnostics of Polycystic Kidney Disease. PLoS ONE 10 (2): e0116680. doi:10.1371/journal.pone.0116680



